2026/03/11

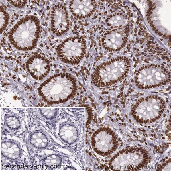
在Western Blot、IHC和ELISA等免疫检测实验中,如何将微弱的抗原信号高效、特异地放大,是获得清晰可靠结果的关键。这时,一个“明星工具”便登场了——辣根过氧化物酶(HRP)偶联二抗。 今天,我们就来聊聊HRP是什么,它如何与二抗协同工作,并以两款经上千篇文献验证的经典产品为例,带您看懂优质HRP偶联二抗的“自我修养”。 一、HRP:免疫检测中的“信号放大器” 辣根过氧化物酶(HRP)是一种从植物中提取的酶,之所以能成为应用最广泛的标记酶之一,靠的是三大“绝技”: 良好的稳定性:HRP耐受性良好,能适应多种实验条件,易于偶联和保存。 高催化效率:它具有极高的催化活性,能快速催化底物产生强信号。这意味着即使是低丰度的目标蛋白,也能被清晰地“揪出来”。 底物多样性:根据实验需求,HRP可以搭配不同的底物,产生不同类型的信号: 显色底物:如搭配TMB底物,可通过酶标仪定量,是ELISA检测中最常用的底物。 发光底物:如搭配ECL底物,则通过发光信号进行检测,这是Western Blot最灵敏的检测方法之一。 荧光底物:如搭配ADHP底物,可产生荧光信号,适用于特定的荧光检测平台。 正是这种灵活的信号输出能力,让HRP成为连接抗原-抗体结合与可检测信号之间的理想“桥梁”。 二、HRP偶联二抗:如何实现“1+1>2”? 在实验中,我们很少直接标记针对靶蛋白的一抗,而更多使用HRP偶联的二抗。这是一种“间接”标记策略,却能带来巨大的优势: 信号级联放大:一个一抗分子可以结合多个二抗分子,而每个二抗上又偶联了多个HRP酶。这种级联放大效应,能让初始的抗原信号被成百上千倍地增强,对检测低丰度蛋白至关重要。 操作更灵活,成本更低:只需购买一种HRP标记的二抗,就能配合多种一抗使用,无需为每个一抗都进行繁琐的标记。 保持一抗活性:直接标记有时会影响一抗的亲和力,而使用二抗间接标记则完美规避了这个问题。 三、明星产品解析:ab205718 Goat Anti-Rabbit IgG H&L (HRP) 在众多的HRP偶联二抗中,ab205718 Goat Anti-Rabbit IgG H&L (HRP)是经过市场广泛验证的经典之选,该产品拥有4500+的文献引用量 产品速览 货号:ab205718 宿主:Goat 靶标种属:Rabbit 靶标亚型:IgG 靶标特异性:Heavy & Light chains 偶联物:辣根过氧化物酶 (HRP) 应用范围:经验证适用于WB, IHC-P, IP, ELISA等实验。 核心亮点解析 1. 性能卓越,数据说话 在Western Blot中的应用 在检测beta Actin内参蛋白时,使用ab205718(1/5000稀释)进行检测。结果显示,各泳道条带清晰,背景干净;在多个物种的样本(人、小鼠、大鼠的细胞和组织)中,均获得清晰、干净的单一条带。 图1.Western blot - Goat Anti-Rabbit IgG H&L (HRP) (AB205718) All lanes:Western blot - Anti-beta Actin antibody - Loading Control (ab8227) at 1 µg/mL; Lane 2:Liver (Mouse) Tissue Lysate at 10 µg; Lane 3:Liver (Rat) Tissue Lysate at 10 µg; Lane 4:HeLa (Human epithelial carcinoma cell line) Whole Cell Lysate at 10 µg; Lane 5:NIH 3T3 (Mouse embryonic fibroblast cell line) Whole Cell Lysate at 10 µg; Lane 6:PC12 (Rat adrenal pheochromocytoma cell line) Whole Cell Lysate at 10 µg All lanes:Western blot - Goat Anti-Rabbit IgG H&L (HRP) (ab205718) at 1/50000 dilution Predicted band size: 36 kDa Observed band size: 42 kDa 在IHC中的应用 在人类结肠组织切片中染色Histone H4,使用ab205719(1/20000稀释)作为二抗,DAB作为显色底物,其结果显示染色信号清晰、定位准确,无明显的非特异性背景。 图2.Immunohistochemistry (Formalin/PFA-fixed paraffin-embedded sections) - Goat Anti-Rabbit IgG H&L (HRP) (AB205718) 2. 特异性强,交叉反应低 这款二抗在研发时经过了严格的交叉反应性测试(基于其未偶联形式ab182016的数据): 小鼠IgG、大鼠IgG 和鸡 IgY 均不足 2%。人类 IgG 低于 7%。 图3.通过夹心 ELISA 方法测试多克隆二级抗体 ab182016 的交叉反应性。 在测试批次中,ab182016 对人类 IgG 的交叉反应性为 5-7%,对小鼠 IgG、大鼠 IgG 和鸡用 IgY 的交叉反应性低于 2%。

Lane 1:Liver (Human) Tissue Lysate at 10 µg;

四、如何为您的实验挑选合适的HRP二抗?
明确一抗的宿主种属:这是第一原则。如果一抗是小鼠来源的,就选抗小鼠的二抗;如果是兔来源的,就选抗兔的。 考虑实验应用:确保所选二抗经过您实验方法的验证(如WB、IHC、ELISA)。 是否需要预吸附:IHC实验中样本的内源性免疫球蛋白 (Igs) 含量高或需要进行多重染色,建议选择预吸附的HRP二抗,可极大降低种属交叉反应带来的高背景风险。
五、结语
HRP偶联二抗是连接目标蛋白与可检测信号的关键枢纽。选择一款高灵敏度、高特异性和高稳定性的产品,能让您的实验事半功倍。ab205718 Goat Anti-Rabbit IgG H&L (HRP)凭借其出色的性能和超过4500篇文献的引用,无疑是您进行免疫检测时的可靠伙伴。
END 关于康成百澳生物 生命科学领域快速消费品及配套服务的专业供应商,总部位于泰州医药城,上海、广州、南京、成都、苏州、杭州、武汉等地设有分公司及办事处。 产品线涵盖精准医疗、抗体、疫苗、CGT、分子生物学与细胞生物学、常规临床检验、药物筛选、基因组学与蛋白质组学等研究和应用领域,以“技术+产品+服务”的一体化模式服务客户。 部分图片、字体、文字来源于网络 如有侵权请联系删除
