2025/11/26

在生命科学实验室里,蛋白表达是高频操作,传统方法总要与活细胞打交道,耗时长且受限多。而无细胞蛋白表达技术的出现,打破了活细胞的 “牢笼”,让蛋白合成变得更高效、灵活。从基础研究到产业应用,这项技术正加速渗透,今天就带你来全面解锁它的奥秘。
一、本质揭秘:无细胞表达是什么?
无细胞蛋白表达(Cell-Free Protein Synthesis, CFPS),也叫体外转录 - 翻译系统,是一种不依赖活细胞、在试管等体外环境中合成蛋白质的生物技术。它的核心逻辑是 “拆解细胞功能”—— 把细胞里负责蛋白合成的关键 “设备” 和 “原料” 拎出来,在体外重构一套独立的合成体系。 核心组成:体外 “蛋白工厂” 的零件 一个完整的无细胞表达系统,主要包含四大类组分: • 细胞提取物:来自大肠杆菌、小麦胚芽、哺乳动物细胞等经处理后的裂解液,含有核糖体、tRNA、转录因子和酶类等关键元件。 • 模板分子:可以是环状质粒 DNA、PCR 扩增得到的线性 DNA 片段,甚至是体外转录的 mRNA,无需克隆步骤就能直接使用,大大简化流程。 • 反应原料与能量:包括氨基酸、核苷酸(NTPs,转录的原料)、ATP 等能量物质,以及维持体系稳定的缓冲液和盐离子。 • 辅助因子:根据需求添加,比如促进蛋白折叠的二硫键增强剂(NEB #E6820)、抑制核酸降解的酶抑制剂(NEB #P0774)等,能提升表达效率和蛋白活性。 图1:单管CFPS系统的示意图[1] (该系统需要细胞裂解物、能量来源、核苷酸、氨基酸、盐类、辅因子、线性或质粒DNA以及维持反应所需的水/缓冲液。可用于合成病毒、抗体、治疗性蛋白质和高通量蛋白质。) 工作流程:3 步完成体外蛋白合成 相比传统细胞表达动辄数天的周期,无细胞系统的流程堪称 “极简”,整个过程像做 PCR 实验一样便捷,最快 3 小时就能看到结果,而传统细胞表达至少需要 3-7 天。 下面是参考NEB的NEBExpress 无细胞E.coli蛋白合成系统技术流程: 1. 制备体系:将细胞提取物、原料、辅助因子按比例混合,配制反应液; 2. 加入模板: DNA 或 mRNA 3. 温育收获:在适宜温度(通常 16-37℃)下温育几小时到一天,直接纯化或检测目标蛋白。 图2:细胞表达蛋白 vs 无细胞蛋白表达操作对比[1] 基于细胞的实验流程:将重组质粒纯化后转化到合适的宿主菌株中,涂到平板上并过夜培养。第二天挑取菌落并在液体培养基中过夜培养。将过夜培养物重新稀释,培养至对数生长中期(OD=0.4-0.8),然后诱导表达。随后,将培养物离心沉淀、裂解,并通过柱层析进行纯化,整套流程下来至少需要 5 天。 无细胞实验流程:将重组质粒纯化,并加入到NEBExpress 无细胞E.coli蛋白合成系统混合物中,温育数小时,与 NEBExpress Ni-NTA 磁珠混合,并上样到磁性颗粒处理器上进行自动化纯化。最快3小时看到结果。

二、应用场景
图3:CFPS系统的应用场景[1] 1.高通量筛选:比如筛选酶的突变体(需要快速检测上百个样本),用线性 DNA 直接作为模板,24 小时内就能完成一轮筛选,效率远超传统方法。 2.毒性蛋白 / 膜蛋白表达:毒性蛋白(会杀死宿主细胞)、膜蛋白(容易在细胞内聚集),因为没有活细胞,即使目标蛋白有细胞毒性,也不会影响反应过程。比如某些抗菌蛋白、凋亡相关蛋白,在细胞里一表达就会导致细胞死亡,而在无细胞体系中却能稳定合成。 3.快速验证基因功能:克隆新基因快速确认它是否能表达出有功能的蛋白 4.蛋白复合物研究:在同一反应同时表达 2-4 种蛋白,避免了细胞共转化的麻烦 5.非天然氨基酸掺入:可以在蛋白特定位置引入荧光标记、同位素标记的氨基酸
三、核心优势:为什么它能替代传统方法?
无细胞表达技术的崛起,源于它解决了传统细胞表达的诸多痛点,下面列举了几个优势点: 1. 速度快:效率提升 10 倍以上 传统细胞表达要经历细胞培养、转化、诱导等多个步骤,仅培养细胞就需要 2-3 天。而无细胞系统跳过了活细胞生长的周期, 3-5 小时即可完成合成,纯化样品最快 1 天就能交付,效率比传统方法提升 10 倍以上。 2. 兼容性强:“难搞” 蛋白全拿下 在活细胞里,毒性蛋白会杀死宿主、膜蛋白易聚集、超大分子量蛋白合成效率低。但无细胞系统不依赖活细胞,完全不受这些限制:既能合成 230 kDa 的超大活性蛋白,也能轻松表达抗菌蛋白、凋亡相关蛋白等毒性分子,甚至对 HEK293 细胞难以表达的易二聚体 VHH 抗体片段,成功率也能超过 99%。 3. 可控性高:精准调控每一步 活细胞的内部环境是 “黑箱”,蛋白表达异常时很难定位问题。而无细胞系统是开放式的,温度、pH、离子浓度等条件都能精准调节,还能直接添加非天然氨基酸、同位素标记底物等特殊成分,研究蛋白质的结构与功能关系。比如想给蛋白加荧光标记,直接在体系中加入荧光氨基酸就能实现,无需复杂的后续修饰。 4. 适配高通量:批量处理更高效 无细胞系统能兼容 96 孔板、液体处理机器人等自动化设备,可并行处理数百个样本。搭配线性 DNA 模板,无需克隆就能直接表达,非常适合抗体文库筛选、酶突变体优化等需要大量样本的场景,大幅提升实验通量。
四、产品推荐:NEB 解决方案,精准适配不同需求
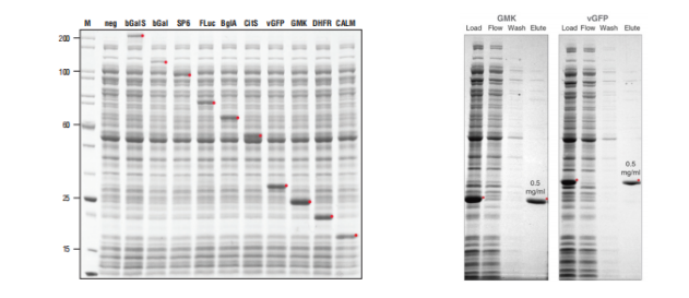
面对多样的实验需求,选择合适的无细胞表达产品至关重要。NEB 目前提供两种性能卓越的无细胞表达系统,基于细胞裂解液的 NEBExpress 系统表现出行业领先的高表达水平和高性价比;而 PURExpress 系统组分明确,高度可控,可满足多种不同的应用场景。 01NEBExpress® 无细胞 E. coli 蛋白合成系统 主打 “高产量、高性价比”,产量最高可达 3 mg/ml,25℃温育 24 小时就能实现最大化表达。搭配 GamS 核酸酶抑制剂(货号 P0774),能让线性 DNA 模板的产量翻倍,还兼容 His 标签等多种纯化方式,纯化后蛋白可直接用于结构分析和功能验证。特别适合大规模蛋白制备、毒性蛋白表达和高通量筛选。 左图:NEBExpress 无细胞 E.coli 蛋白合成系统可用于表达多种不同大小(17至230 kDa)的蛋白。250ng模板DNA在50u反应体系中37℃温育3小时。红点处指示目的蛋白。 右图:两个 50 μl NEBExpress 无细胞表达实验,表达 His 标签鸟苷酸激酶 (GMK)和 His 标签绿色荧光蛋白(vGFP),并按照推荐的标准流程使用 NEBExpress® 镍离心柱(NEB #S1427)纯化。各泳道样品情况:纯化前样品(Load)、未结合流出液(Flow)、非特异性结合部分(Wash)和结合并纯化后的样品(Elute)。最终 50 μl 洗脱液的蛋白浓度为 0.5 mg/ml,证明无细胞蛋白表达可以产生足够量的蛋白用于功能和结构表征。 02PURExpress® 体外蛋白合成试剂盒 组分明确可控,不含杂酶干扰,2 小时即可完成表达,冻融稳定性好,实验重复性极强。添加二硫键增强剂(NEB# E6820)后,能显著促进蛋白正确折叠,尤其适合非天然氨基酸掺入、核糖体功能研究等精准实验需求。 左图:根据说明书要求建立反应体系。红点处指示目的蛋白。Marker M是蛋白分子量标准品。 右图:PURExpress 可在多次冻融循环后仍保留活性。PURExpress系统(NEB#E6800)溶液A和B 经过四轮冻融处理后,根据说明书建议建立标准反应。红点表示目的蛋自。MarkerM是宽范围蛋白Marker (NEB #P7702)。

结语:从实验室到产业的 “蛋白革命”
从 “借鸡生蛋” 到 “自己造蛋”,无细胞蛋白表达技术的出现,不仅大幅提升了蛋白制备的效率,更打破了传统技术的诸多限制,让科研人员能更 “自由” 地探索蛋白质的世界 —— 不用再为细胞培养的时长焦虑,不用再为毒性蛋白的表达发愁,不用再为多蛋白共表达的兼容性纠结。 而 NEB 作为分子生物学工具领域的领导者,通过 40 余年的技术积累,将无细胞表达技术从 “实验室自制” 推向了 “标准化、易用化” 的商业化阶段。无论是追求高产量的 NEBExpress®,还是追求高可控性的 PURExpress®,都能为不同需求的科研人员提供稳定、高效的解决方案。
参考文献:[1] Khambhati K, Bhattacharjee G, Gohil N, et al. Exploring the potential of cell-free protein synthesis for extending the abilities of biological systems. Frontiers in Bioengineering and Biotechnology, 2019, 7: 16 # END # 关于康成百澳生物 生命科学领域快速消费品及配套服务的专业供应商,总部位于泰州医药城,上海、广州、南京、成都、苏州、杭州、武汉等地设有分公司及办事处。 产品线涵盖精准医疗、抗体、疫苗、CGT、分子生物学与细胞生物学、常规临床检验、药物筛选、基因组学与蛋白质组学等研究和应用领域,以“技术+产品+服务”的一体化模式服务客户。 版权声明:本文为个人整理文章,内容仅供参考,旨在促进学术交流与信息共享,如有异议或侵权,请联系我们处理。
