2026/03/30

Ki67蛋白,作为被广泛认可的细胞增殖标志物,被誉为衡量肿瘤侵袭性的“分子标尺”。今天,我们将深入解析Ki67的生物学功能。
一、靶点聚焦:Ki67——细胞增殖的忠实记录者
1.什么是Ki67?
Ki67是一种由MKI67基因编码的核蛋白,其名称源自其发现地——德国基尔大学的67号克隆。它的独特之处在于,其表达与细胞周期严格偶联:在有丝分裂活跃的G1、S、G2和M期,Ki67在细胞核内高水平表达;而在静息的G0期,它则迅速降解,几乎完全消失。这种“开/关”式的表达模式,使其成为精准区分增殖细胞与静止细胞的理想标志物。
2.Ki67的分子特性与功能
Ki67抗原由MKI67基因编码,是一种存在于细胞核内的非组蛋白,其表达水平与细胞周期密切相关:
G0期(静止期):Ki67完全不表达
G1、S、G2期(分裂间期):表达水平逐渐升高
M期(分裂期):表达量达到峰值
细胞分裂结束后,Ki67会被迅速降解,因此静止期细胞几乎检测不到信号。
这种严格的周期依赖性表达特性,让Ki67成为直接反映细胞群体增殖活性的理想指标。
3. 临床意义:肿瘤诊断与预后的“风向标”
在临床病理学中,Ki67指数(阳性细胞百分比)是常规病理报告中的核心指标之一,尤其在乳腺癌、前列腺癌、淋巴瘤等多种肿瘤中:
评估肿瘤侵袭性:Ki67指数越高,通常反映肿瘤增殖越活跃,恶性度越高。
指导治疗决策:在乳腺癌中,高Ki67指数往往提示对化疗更敏感,但也意味着更具侵袭性。
预测预后:大量研究表明,高Ki67表达与患者较差的总生存期和无病生存期显著相关,是独立的预后因素。
二、产品推荐:Anti-Ki67抗体 [ab15580]——值得信赖的经典之选
在众多Ki67抗体中,ab15580凭借其卓越的验证数据与超4200篇文献引用,成为全球科研工作者信赖的“明星产品”。
1.产品核心信息
产品名称:Anti-Ki67抗体 [ab15580]
反应种属:人、小鼠。
应用验证:经严格验证适用于IHC-P, ICC/IF。
特异性:通过Ki67敲除HAP1细胞的ICC/IF实验,确认其染色信号完全消失。
引用数据:超过4218篇同行评审文献引用,223条客户评价。

图1. ab15580 在野生型 HAP1 细胞(上图)和 Ki67 敲除 HAP1 细胞(下图)中对 Ki67 进行染色。
2. 关键应用参数


Tested
我们已对该物种和应用场景的组合完成测试,确认可正常使用,属于我司产品承诺保障范围。
Expected
我们尚未在内部测试过该特定物种和应用场景的组合,但预计其可正常使用,属于我司产品承诺保障范围。
Predicted
该物种和应用场景的组合尚未经过测试,但基于高度同源性我们预测其可正常使用。该组合不属于我司产品承诺保障范围。
3. 性能与储存优势
形态:液体。
存储溶液:含1% BSA和0.02%叠氮钠的PBS(pH7.4)。
储存建议:短期(1-2周)可4°C保存,长期推荐分装后-20°C储存,避免反复冻融,以维持抗体活性。
三、为何选择ab15580?
在免疫组化评分、荧光共定位或细胞增殖分析中,抗体的特异性、灵敏度与批次稳定性直接决定了实验结果的可靠性。ab15580具备以下无可比拟的优势:
高特异性:通过基因敲除细胞验证,排除非特异性背景的干扰。
海量文献背书:超4200次引用,意味着您的结果能轻松与全球已发表数据对标,增强研究的可信度。
完善的质控体系:Abcam®提供产品承诺,确保产品性能符合预期,为您的科研之路保驾护航。

图2. 免疫细胞化学/免疫荧光 - Anti-Ki67抗(AB15580):对Mef1细胞中的Ki67进行染色

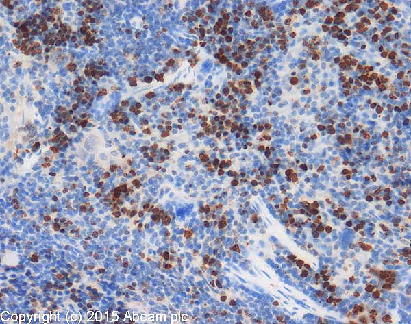
图3. 免疫组化(福尔马林/多聚甲醛固定石蜡包埋切片) - Anti-Ki67抗体(AB15580):
本图像为人脾脏福尔马林固定石蜡包埋组织切片中Ki67染色的免疫组化图像。
结语
Anti-Ki67抗体 [ab15580],凭借其半个世纪的验证积淀与持续创新的质控标准,将继续助力科学家们在细胞增殖与肿瘤研究领域取得更多突破。
END

关于康成百澳生物
生命科学领域快速消费品及配套服务的专业供应商,总部位于泰州医药城,上海、广州、南京、重庆、成都、苏州、杭州、武汉、济南等地设有分公司及办事处。
产品线涵盖精准医疗、抗体、疫苗、CGT、分子生物学与细胞生物学、常规临床检验、药物筛选、基因组学与蛋白质组学等研究和应用领域,以“技术+产品+服务”的一体化模式服务客户。

部分图片、字体、文字来源于网络 如有侵权请联系删除