2026/04/30

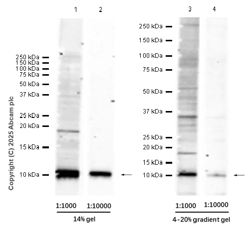
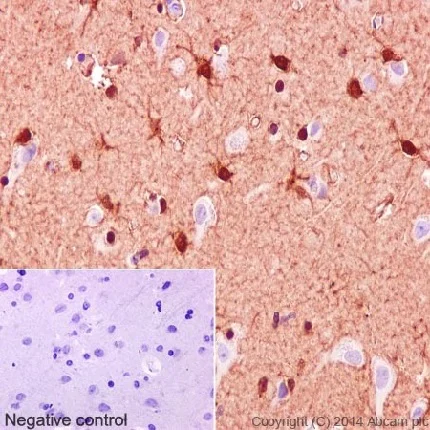
在神经科学研究的广阔版图中,星形胶质细胞正从“配角”走向“主角”。过去数十年间,这一曾被视作神经元“辅助细胞”的胶质细胞群体,已被证实深度参与突触传递、血脑屏障维持、神经炎症调节及损伤修复等诸多关键过程。而在星形胶质细胞的研究工具箱中,S100 Beta(S100β) 无疑是一枚久经考验的“明星标记物”。 靶点介绍:S100β(S100B) 星形胶质细胞标志物 | 神经退行性疾病与肿瘤相关生物标志物 基本信息 别名:S100B、S100钙结合蛋白B 分子量:约11 kDa 主要表达部位:中枢神经系统星形胶质细胞(少量表达于神经元) 细胞定位:细胞质、细胞核、细胞外区域 结构与功能 S100β是S100家族钙结合蛋白成员之一,形成二聚体或更大复合物,受钙离子结合调控其功能状态。 核心功能: 调节星形胶质细胞分化与轴突发生 影响神经元突触可塑性、细胞存活及神经突生长 参与细胞增殖与分化,兼具支持与抑制双重作用 维持神经系统稳态 参与信号通路 S100β参与炎症与应激反应相关通路: MAPK通路 NF-κB通路 通过调节p53等蛋白,影响细胞凋亡与氧化应激应答,在病理和生理条件下调节细胞命运。 相互作用蛋白 tau蛋白 RAGE受体 p53 β-淀粉样蛋白(Aβ) 参与细胞黏附、缺氧反应及神经炎症调节。 疾病关联 神经退行性疾病 阿尔茨海默病:S100β水平升高,与Aβ相互作用促进神经炎症与神经毒性 创伤性脑损伤:作为神经元损伤与胶质细胞激活的标志物 恶性黑色素瘤:S100β水平可作为肿瘤进展的生物标志物 通过调控p53等参与致癌过程,潜在治疗靶点 生物学意义 促进学习与记忆过程(大脑发育与可塑性) 调节中枢神经系统炎症反应 作为多种神经系统疾病的生物标志物(如创伤性脑损伤、阿尔茨海默病) 小结:S100β既是星形胶质细胞的经典免疫组化标志物,也是神经退行性疾病和肿瘤领域的重要生物标志物与潜在干预靶点。 产品推荐——抗S100 beta抗体 [EP1576Y](ab52642) 产品名称:Anti-S100 beta antibody [EP1576Y] - Astrocyte Marker(ab52642) 产品类型:兔单克隆抗体(克隆号EP1576Y) 验证应用:WB、IHC-P、IHC-Fr、ICC/IF、IP 反应种属:已验证人、小鼠、大鼠等 分子量:约11 kDa 多维度验证,值得信赖的实验伙伴 Anti-S100 beta antibody [EP1576Y](ab52642) 采用Abcam专利的兔单克隆抗体技术开发,在多项应用中均经过严格验证: Western Blot(WB) 免疫细胞化学/免疫荧光(ICC/IF) 石蜡包埋切片免疫组化(IHC-P) 冰冻切片免疫组化(IHC-Fr)



丰富产品线,满足多样化实验需求
同一克隆EP1576Y还提供多种衍生格式,便于研究者根据实验需求灵活选择: 无BSA/无叠氮化物抗体: ab215989,适合偶联需求 预标记抗体: HRP标记 Alexa Fluor® 488 Alexa Fluor® 594 Alexa Fluor® 555 Alexa Fluor® 568 Alexa Fluor® 647
结语
无论您是开展星形胶质细胞发育机制研究、神经退行性疾病病理探索,还是致力于胶质瘤微环境与治疗靶点的发现,Anti-S100 beta antibody [EP1576Y](ab52642) 都将凭借其卓越的特异性、稳定性和丰富的应用验证,成为您科研道路上值得信赖的实验伙伴。
END 关于康成百澳生物 生命科学领域快速消费品及配套服务的专业供应商,总部位于泰州医药城,上海、广州、南京、重庆、成都、苏州、杭州、武汉、济南等地设有分公司及办事处。 产品线涵盖精准医疗、抗体、疫苗、CGT、分子生物学与细胞生物学、常规临床检验、药物筛选、基因组学与蛋白质组学等研究和应用领域,以“技术+产品+服务”的一体化模式服务客户。 部分图片、字体、文字来源于网络 如有侵权请联系删除
