2026/04/30

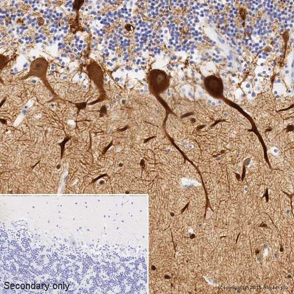
在神经科学研究中,找到一款特异性强、信噪比高且经过充分验证的神经元标记抗体,往往是实验成功的关键。今天,我们为大家介绍一款备受科研工作者信赖的产品——Anti-beta III Tubulin抗体 [2G10](ab78078),它已成为神经发育、干细胞分化及肿瘤研究中标记神经元的重要工具。 靶点介绍:β-III 微管蛋白 神经元分化标志物 | 神经发育与肿瘤耐药相关靶点 基本信息 别名:βIII tubulin、beta-tubulin 3、TUBB3 分子量:约 55 kDa 主要表达部位:中枢及周围神经系统的神经元 细胞定位:细胞骨架(微管) 结构与功能 β-III 微管蛋白是微管蛋白家族成员,与 α-微管蛋白形成异源二聚体,构成微管的基本 building block。 核心功能: 参与微管聚合与稳定,维持细胞形状、细胞内运输和分裂 在轴突引导和维持中起关键作用 与 Netrin‑1/UNC5C 信号互作,调节微管动力学及轴突排斥 参与背根神经节轴突向脊髓的投射 作为神经元分化的特异性标志物,对神经发生和神经元可塑性至关重要 参与信号通路 Rho GTPase 通路 MAPK 信号通路 参与细胞周期调控和凋亡过程 与微管相关蛋白(如驱动蛋白、动力蛋白)互作,影响沿微管的细胞内运输 相互作用蛋白 α-微管蛋白(形成异源二聚体) UNC5C(Netrin-1 受体) p53 驱动蛋白(kinesins)、动力蛋白(dyneins) 疾病关联 肿瘤:在胶质母细胞瘤等神经源性肿瘤中异常表达;过表达或突变可导致化疗耐药;p53 可调控其表达,影响肿瘤细胞增殖与凋亡 神经发育障碍:影响神经网络形成与稳定性,与先天性轴突导向缺陷等相关 生物学意义 稳定微管,保障神经元正常功能 作为神经组织特异性标志物,用于神经元分化鉴定 参与轴突导向、胞内运输及信号传导 与肿瘤耐药及神经发育疾病密切相关 小结:β-III 微管蛋白(TUBB3)是神经元的经典标志物,在微管动态性、轴突生长及胞内运输中发挥核心功能;同时是神经源性肿瘤化疗耐药及神经发育障碍的重要相关靶点。 产品推荐——ab78078 产品名称:Anti-beta III Tubulin antibody [2G10] - Neuronal Marker (ab78078) 产品类型:小鼠单克隆抗体(克隆号2G10) 验证应用:WB、ICC/IF、IHC-P、IP、Flow Cytometry(胞内) 反应种属:Dogfish, Common marmoset, Catshark, Mouse, Rat, Human等 分子量:约51 kDa 产品规格:100 μg 形式与保存:液体形式,亲和纯化,储存于含PBS、L-精氨酸和0.02%叠氮钠的溶液中(pH 7.4),长期保存建议-20°C分装冻存,避免反复冻融 验证数据亮点 1、敲除验证 已通过β-III Tubulin敲除HAP1细胞的WB验证,特异性得到确认: 在野生型 HAP1 细胞中,ab78078 与βIII型微管蛋白特异性反应,因为β-III 型微管蛋白敲除细胞中信号丢失。野生型和β-III 型微管蛋白敲除样本对 SDS-PAGE 进行了分析。 Western blot-抗β-III微管蛋白抗体[2G10]——神经元标志物(ab78078),稀释值为 1/20000 Lane 1:野生型 HAP1 全细胞裂解液 20 微克 Lane 2: β-III型管蛋白敲除 HAP1 全细胞裂解液,剂量为 20 μg Lane 3: HeLa细胞在 20 μg 下裂解 Lane 4: HEK-293细胞裂解液,20 μg 预测条带大大小: 50 kDa 2、多物种、多实验验证 Immunocytochemistry/ Immunofluorescence(大鼠神经元/胶质细胞) Immunohistochemistry (Formalin/PFA-fixed paraffin-embedded sections)(人小脑) Immunoprecipitation(小鼠) Western blot Lane 1: 人脑组织裂解液 Lane 2: 第二道:脑(小鼠)组织裂解液 Lane 3: 脑(大鼠)组织裂解液




此外,同一克隆2G10还提供无BSA/无叠氮的载体版(ab264097),以及预标记版本:Alexa Fluor® 488(ab195879)、Alexa Fluor® 647(ab19588)、HRP(ab196638),可直接用于多重免疫荧光或WB检测,极大简化实验流程。
结语
无论您是在开展神经发育机制研究、干细胞分化追踪,还是探索肿瘤微环境中的神经-肿瘤互作,ab78078都将是您值得信赖的实验伙伴。
END 关于康成百澳生物 生命科学领域快速消费品及配套服务的专业供应商,总部位于泰州医药城,上海、广州、南京、重庆、成都、苏州、杭州、武汉、济南等地设有分公司及办事处。 产品线涵盖精准医疗、抗体、疫苗、CGT、分子生物学与细胞生物学、常规临床检验、药物筛选、基因组学与蛋白质组学等研究和应用领域,以“技术+产品+服务”的一体化模式服务客户。 部分图片、字体、文字来源于网络 如有侵权请联系删除
